|
肿瘤自发性消退的定义是在不采取任何治疗或治疗不足以对肿瘤产生显著影响的情况下恶性肿瘤部分或完全消失。每 6-10 万例癌症患者约有一例肿瘤自发性消退病例。结肠癌的自发性消退特别罕见,其内在机制从未阐明,只有少数个别的病例报告。
Kyoichi Kihara 在 Japanese Journal of Clinical Oncology 上报道了一例通过手术切除标本病理检查证实自发性消退的结直肠癌病例。
患者男性,64 岁,因大便潜血阳性于当地医院就诊。行结肠镜检查在横结肠发现一典型的肿瘤病灶,直径约 30mm(图 1),标本活检显示中分化管状腺癌。

图 1 第一次结肠镜提示典型的肿瘤病灶,直径 30mm
患者后转入国家癌症中心医院就诊,病史包括 28 年前因胃溃疡行远端胃大部切除术以及 23 年前因胆结石行胆囊切除术。患者因糖尿病 15 年来一直服用二甲双胍,并服用两种膳食补充剂葡糖胺和小球藻 3 年。实验室检查未发现明显异常:癌胚抗原和糖类抗原 19-9 水平分别为 1.2ng/ml(<5.0)和 7 U / ml(<37)。
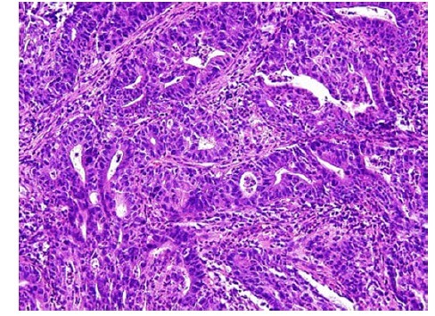
第一次肠镜检查 3 周后行第二次结肠镜检查。肿瘤病灶直径 20 mm,较之前明显缩小(图 2)。标本活检仍显示中分化腺癌(图 3)

图 2 第二次肠镜发现肿瘤直径 20mm,较之前减小,肿瘤溃疡变浅。

图 3 标本活检提示中分化腺癌
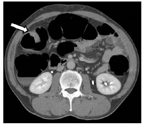
CT 显示肠壁增厚,病变部位诊断为 T2(MP),无证据显示淋巴结转移或远处转移(图 4)
图 4 CT 提示肠壁增厚(箭头处),无淋巴结肿大或远处转移
根据 TNM 分期临床诊断为 cT2N0M0。第一次结肠镜检查 6 周后行右半结肠切除术。术后标本检查发现肿瘤病灶消失,仅余变色疤痕(图 5)。

图 5 手术标本显示变色的疤痕
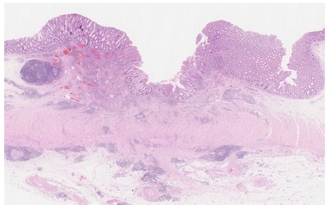
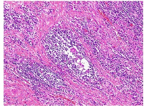
标本经福尔马林固定后每 3-5mm 组织切片。组织学检查显示明显的炎性淋巴细胞、浆细胞浸润和黏膜下层和固有肌层之间纤维化(图 6 和图 7)。解剖瘢痕处及淋巴结均没有发现癌细胞。

图 6 炎性淋巴细胞、浆细胞浸润,黏膜下层和固有肌层之间纤维化明显,表面覆盖退化的粘膜层。

图 7 微观显示炎性细胞浸润,无肿瘤细胞
术后过程顺利。患者出院前再次做结肠镜检查,结肠或直肠均未发现肿瘤病灶。因此,最后诊断为自发性消退结肠癌。术后 1 年无肿瘤复发征状。
文章摘自:丁香园

(责任编辑:康复乐园) |