|
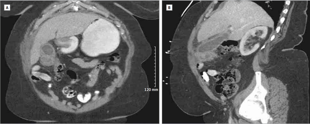
近期,Beteck 教授等在 JAMA Surgery 杂志上发表了一例关于特殊胆囊炎的病例报道。 图 1 CT 扫描的冠状面(A)和矢状面(B)显示胆囊底部有一软组织肿物 你的诊断是? A、急性胆囊炎 B、黄色肉芽肿性胆囊炎 C、胆囊癌 D、胆囊腺肌瘤 答案:B、黄色肉芽肿性胆囊炎 讨论 鉴于 CT 上可见胆囊底部有一 5 cm 的肿物,曾考虑过胆囊癌。术中超声探查显示:肝脏深部肿物、胆囊壁炎性浸润并伴有结石及软组织肿物。患者随后接受了开腹胆囊切除、部分肝脏切除。可见胆囊底部有一质硬结石,考虑可有癌变。横结肠和大网膜的部分与胆囊底部粘连。仔细分离结肠,切除部分大网膜。漏斗和胆囊管无炎症浸润,但有一 2 cm 结石。 术中病理显示良性病变。最终病理提示:胆囊周围胆汁外渗并伴有慢性黄色瘤浸润。确诊黄色肉芽肿性胆囊炎(XGC)的诊断(图 2)。 图 2 切除标本的镜下表现 黄色肉芽肿性胆囊炎是一种慢性的胆囊炎,其特征为不对称胆囊壁的严重炎性浸润,一般没有胆囊周围液体积聚。长期的慢性炎症使得胆囊与周围脏器形成粘连,并可能导致瘘管和狭窄的形成。虽然此病为一良性疾病,但是经常会误诊为胆囊癌。有报道指出约有 0.7%-13.2% 患者的胆囊有炎症浸润。
XGC 的 CT 诊断包括:胆囊壁增厚、低密度胆囊内结节、胆结石以及胆囊周围浸润。胆囊切除术是本病的一种治疗选择。鉴于 XGC 是唯一良性的疾病,冰冻切片可能避免肝脏切除, 但是,是否进行扩大化胆囊切除,还要必须慎重评估由于肿瘤侵犯而引起的肿瘤播散的风险。一项研究称,在区别 XGC 与胆囊癌中,XGC 的 CA199 肿瘤指标较高,同时相较于早期胆囊癌,XGC 的疼痛、黄疸以及厌食等征象和症状较为明显。
|









