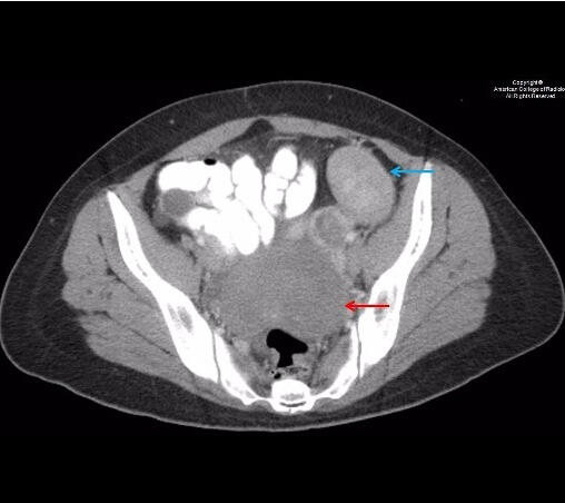
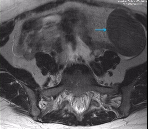
基本病史:患者女性,40 岁,腹痛,几年前曾做过子宫切除术。行腹部 CT 和 MR 检查,结果如下。![]() ![]() ![]() ![]() ![]() ![]() ![]() 诊断:弥漫性腹膜平滑肌瘤病 病例要点 弥漫性腹膜平滑肌瘤病是一种罕见的良性肿瘤,好发于育龄期女性,术前常误诊为子宫肌瘤,疾病受激素影响。 弥漫性腹膜平滑肌瘤在影像学上的特点,主要表现为腹膜或盆腔的小结节或大的实性软组织团块。鉴别诊断主要包括:腹膜转移癌,淋巴瘤,结核性腹膜炎,原发性腹膜间皮瘤,硬纤维瘤和平滑肌肉瘤。 MRI 可通过均匀对比度增强,显示与骨骼肌和平滑肌相似的信号强度,进而协助该病的诊断。 讨论 在腹膜上生长的众多平滑肌肿瘤中,弥漫性腹膜平滑肌溜病是其中一种罕见的良性肿瘤。好发于育龄期女性,其中又有很大一部分人合并子宫肌瘤切除术或子宫切除术。其他危险因素包括激素的影响,如妊娠,长期口服避孕药和卵巢颗粒细胞瘤。 腹膜转移癌是最令人重视的鉴别诊断。然而,转移癌的病人通常会体重下降和有腹水。肿瘤可以表现为浸润生长或是多发小结节,但是大的孤立性实性团块不常见。弥漫性腹膜平滑肌瘤病可以于无症状病人偶然发现,结节可大可小。全身症状不明显。原发性腹膜间皮瘤更常见于男性,常表现为腹膜内浸润的斑块和团块。 腹膜结核表现为低密度坏死结节灶。淋巴瘤表现为非坏死、非钙化的均质性腹膜后淋巴结肿大,通常不伴有明显的强化。平滑肌肉瘤有不典型增生,同时还有 FDG 摄取,在病理学上是恶性的。无法单独用影像学检查来区分平滑肌瘤为低度恶性还是良性。
MRI 见平滑肌瘤与骨骼肌和平滑肌有相似的 T1/T2 信号强度,并且静脉注射造影剂时同质强化。影像引导的经皮穿刺活检有助于诊断,但确诊需要剖腹探查和(或)组织检查明确病理为良性。治疗包括通过切除或非切除的手段移除所有的外源激素灶。因有罕见的肉瘤变可能,故需随访。 |













